Ordinační doba: Po-Pá 7.00 - 20.00

Nad Mlýnem 4, 466 01 Jablonec nad Nisou

Protetika (fasety, onlaye, korunky, můstky)

  • Úvod


Protetické ošetření



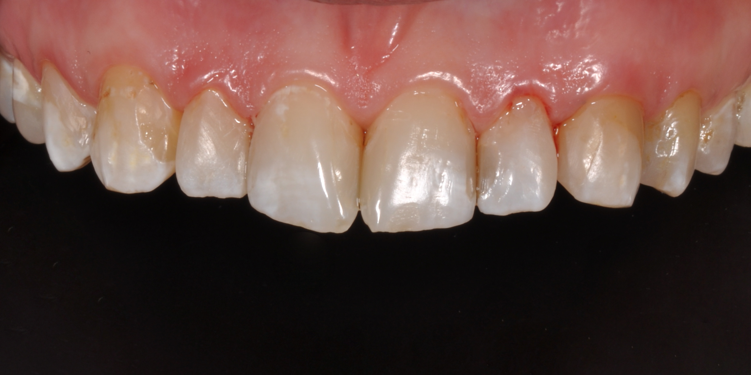
Pokud je defekt v zubu způsobený kazem rozsáhlejší a nemůžeme ho již řešit pomocí výplně, přichází na řadu v laboratoři zhotovená náhrada ztracených zubních tkání, nejčastěji korunka.


FASETY – tenké keramické “plátky“ nalepené na zuby, většinou používané pro estetickou korekci předních zubů


KORUNKA / ONLAY – nahrazuje větší (korunka) či menší (onlay) část zubu ztracenou kazem či úrazem při zachování vlastního kořene


MŮSTEK - řeší ztrátu zubu nebo více zubů přemostěním mezery a vytvořením náhrady, která je pevně uchycena pomocí korunek na zuby sousedící s mezerou